Outline
The trainer is designed for users to develop, practice, and validate skills associated with ultrasound guided amniocentesis procedures. With superb realism and ultra-durable design, this product is a good choice for training amniocentesis skills.
Skills Gained
· Proper transducer positioning
· Ultrasound image interpretation
· Psychomotor skills for amniocentesis
Features
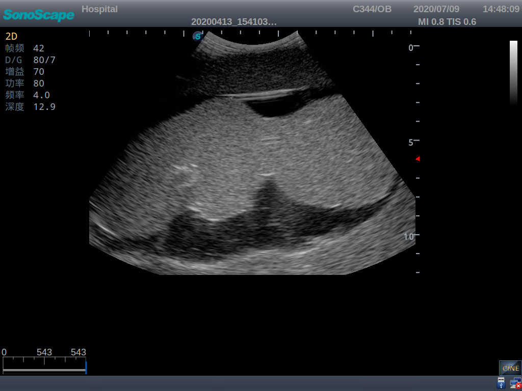
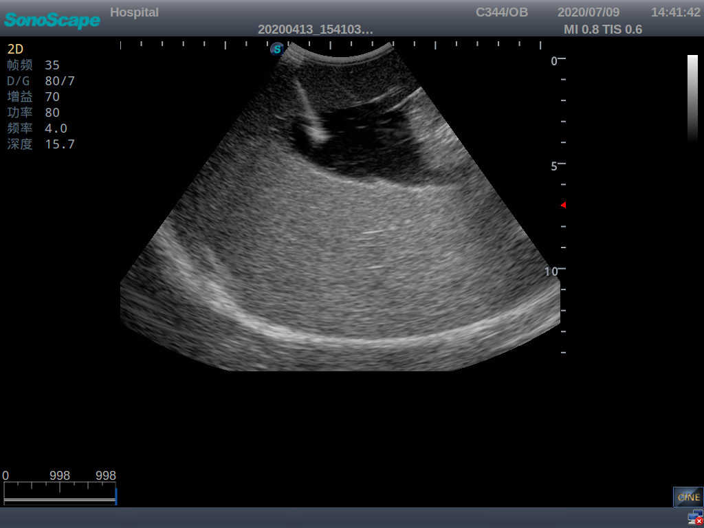
· Anatomy: accurate anatomical structures and landmarks like breasts, bulged belly, fetus and symphysis pubis etc.
· Durable material with realistic feel and touch
· High-quality ultrasound images for users to recognize 22-week fetus, placenta, placenta, umbilical cord and amniotic fluid
· Self-healing material for repeated punctures
· Compatible with various real ultrasound machines
· Adjustable amount of amniotic fluid to meet different training needs
· Realistic sense of breakthrough when puncturing the amnion cavity and amniotic fluid can be drawn out